
We asked pharmacists from various settings around the country: “Why did you become a pharmacist, and what keeps you motivated?"

We asked pharmacists from various settings around the country: “Why did you become a pharmacist, and what keeps you motivated?"

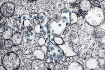
A study evaluated the stability of COVID-19 compared with SARS-CoV-1.

Pharmacy managers and educators offer career advice.

Telehealth advancements in response to COVID-19 reveal the importance of digital health delivery during outbreaks.


A new study found several shortcomings in blood pressure management.

Combating the opioid epidemic is a popular cause, and many organizations, government entities, and health care groups have responded.

Plus, ASHP comments on the latest drug shortage.

The FDA announced the first drug shortage due to COVID-19, and pharmacies are having challenges keeping face masks and hand sanitizers stocked.

Pyrimethamine (Daraprim) tablets are used to treat toxoplasmosis.

Separately, a pharmacy association executive urges Americans to receive the flu vaccine.

FDA responds to shortages, plus other important updates.

Express Scripts’ annual Drug Trend Report highlights top contributors to prescription drug spending in 2019.

Despite sickle cell disease's (SCD) lower profile, 3 new SCD drugs were approved in the last 3 years, with 2 approvals occurring in late 2019

The pharmacist’s role in diabetes management is more important than ever before, given the number of patients with diabetes and the number of options available for treating them.

Special consideration for pain management in patients with cancer.

A UMass Memorial telehealth-based program connects patients with credentialed clinicians who can prescribe medication-assisted treatment for opioid use disorder.

Is there enough diversity in the industry?

Licensure, accreditation, and shared priorities rank high.

A Publix Pharmacy under construction at a hospital in Daytona Beach, Florida, will help Publix Super Markets continue its expansion into the hospital pharmacy realm.

The FDA is requesting that manufacturers of bacitracin for injection voluntarily withdraw their product.

OptumRx’s most recent pipeline outlook for 2020 reveals key therapeutic areas in the lineup.

Officials with the FDA have approved ferric derisomaltose (Monoferric, Pharmacosmos Therapeutics Inc.) injection 100 mg/mL.

How the pharmacy team at Novant Health Brunswick Medical Center ensured patients got their medications during Hurricane Florence.

Fidaxomicin (Dificid, Merck) is indicated in adults and pediatric patients aged 6 months and older for the treatment of Clostridioides difficile-associated diarrhea.