
This indication is approved under accelerated approval based on tumor response rate and durability of response.

This indication is approved under accelerated approval based on tumor response rate and durability of response.

Research presented at the HOPA Annual Conference 2021 supported the benefit and feasibility of a pharmacy-led adherence and monitoring program for oral antineoplastic agents.

Findings presented at the Hematology/Oncology Pharmacists Association Annual Meeting 2021 discussed burnout and job dissatisfaction among oncology and hematology pharmacists.

At the HOPA Annual Conference 2021, Lakesha Butler, PharmD, BCCPS, discussed how pharmacists can disrupt the status quo to fight racism and work toward health equity for all.

Oncology programs provide the tools needed to improve patient outcomes.

Clinical trial data showed that the isatuximab (Sarclisa; Sanofi) regimen reduced risk of disease progression or death in patients with relapsed or refractory multiple myeloma.

The approval of the first-line treatment was granted to Regeneron Pharmaceuticals.

Alliance will provide insight, education, and training opportunities to pharmaceutical and life sciences professionals.

The market for acute lymphocytic leukemia and bladder cancer drug therapies is expected to soar over the next few years, thanks in part to new and innovative medications.

A new online tool allowing AllianceRx Walgreens Prime oncology patients to refill their own prescriptions saves time, while still providing pharmacists’ help when needed.

The FDA approved azacitidine tablets (Onureg; Celgene Corporation) on September 1, 2020

Gut bacteria may be partially responsible for metabolic changes that lead to weight gain following chemotherapy treatment, according to a recent study.

The phase 1b clinical trial combined olaparib with capivasertib to treat patients with germline BRCA1/2 mutations and BRCA1/2 wild-type cancers.

The FDA approved Merck's blockbuster cancer drug, pembrolizumab (Keytruda), in combination with chemotherapy, to treat locally recurrent unresectable or metastatic triple-negative breast cancer.

How community pharmacists can advance care as patients come home.

Pharmacists-in-training have a valuable impact on cancer care, according to authors of a recent journal article.

Many opportunities exist for pharmacists within the multidisciplinary care team to ensure the delivery of optimal cancer care.

The rate of prescribing opioids among both oncologists and non-oncologists has dropped significantly in the past few years.

Pharmacists are uniquely qualified to ensure patients receive sufficient pain relief.

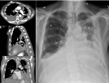
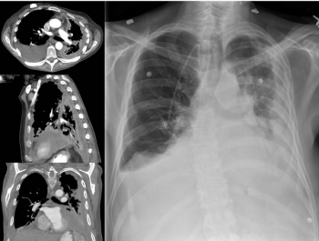
Nivolumab plus ipilimumab decreased tumor growth in patients with untreated unresectable malignant pleural mesothelioma.

New policy recommendations aim to increase the uptake of biomarker testing and advance health insurance coverage for precision medicine in cancer care.

Investigators reported that, compared with chemotherapy, atezolizumab monotherapy was superior in overall survival and progression-free survival in patients with NSCLC.

The FDA issued a safety alert about efficacy and potential safety concerns with a combination therapy being studied for the treatment of breast cancer.

Oncology pharmacists have implemented new ways to communicate with patients, schedule visits and treatments, and re-evaluate their medications regimens during the pandemic.

There is no evidence that blood pressure lowering drugs increase the risk of cancer, according to a major new study.