
Plus, ASHP comments on the latest drug shortage.

Plus, ASHP comments on the latest drug shortage.

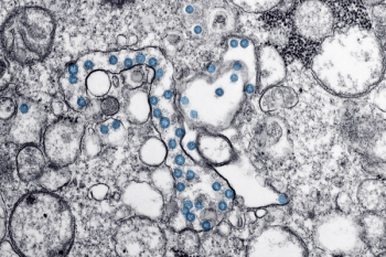
The FDA announced the first drug shortage due to COVID-19, and pharmacies are having challenges keeping face masks and hand sanitizers stocked.

In new comments to the US government, several pharmacy groups say that mergers of major companies have had significant anticompetitive effects without improving the cost and quality of health care.

Separately, a pharmacy association executive urges Americans to receive the flu vaccine.

Several pharmacy groups said they will file a brief in the Supreme Court case, Rutledge v. the Pharmaceutical Care Management Association.

FDA responds to shortages, plus other important updates.

NACDS praised the new Kaiser Permanente model, which utilizes pharmacists and pharmacy technicians to save significant health care costs.

Two new reports quantify the problem that community pharmacists have experienced firsthand.

CMS proposed taking action to increase transparency in Medicare Part D plan sponsors’ pharmacy performance measures.

The latest in how consumers are reacting to the new coronavirus, how it’s impacting pharmacies, and response efforts.

Efficient Laboratories, Inc. is voluntarily recalling 1 lot each of Rompe Pecho EX, Rompe Pecho CF, and Rompe Pecho MAXliquid products due to microbial contamination.

A New Jersey law passed in mid-January requires pharmacies to provide drug disposal options and to educate their customers on how to safely dispose of unused, unwanted, or expired medications.

A pharmacy group is taking a wait-and-see approach after California Governor Gavin Newsom (D) announced several drug reforms–including a state generic prescription drug label.

Kroger continues to expand on their health care and pharmacy services with the introduction of flu testing and strep throat testing in certain markets.

Flu vaccine effectiveness data are not available yet, but the latest flu-related death and hospitalization estimates are in.

The NACDS and NCPA praised the United States Supreme Court's decision to hear a case involving states’ regulation of pharmacy benefit managers.

NACDS says DIR fees, other policies need to change.

In a new lawsuit, CVS, Walgreen, Rite Aid, and other major pharmacy chains said that they are not to blame in federal opioid litigation

Walgreens, CVS Health, and Rite Aid are supporting the recently-launched “Ready, Set, PrEP” program.

Albertsons is expanding its partnership with Genomind to offer patients genetic testing to guide mental health medication management.

Ongoing threats to the safety of intravenous (IV) drug delivery include drug shortages and lack of IV product standardization, according to an expert panel.

Invasive methods did not perform better than drug treatment in patients with stable ischemic heart disease

The proposed rule would allow for the importation of certain drugs from Canada.

More than a year after announcing a pilot joint venture, Kroger and Walgreens have formed a group purchasing organization.

Legislation aimed to do away with unfair direct and indirect renumeration (DIR) fees is moving forward.

Patients with type 2 diabetes should keep taking their medication.

Kroger recently launched an initiative that enables hospitals and health care networks to leverage Kroger resources to provide broader access and value-based health care.

UnitedHealthcare and Walgreens are partnering to open in-store centers.

Evidence-based framework is an urgent need, study says.

Ranitidine recalls, Dollar Tree warnings prompt new safety steps.